愛豆明星
生肖命理
語錄
社會新聞
台灣明星
生活妙招
港澳明星
體育明星
動漫
育兒教育
美食
大陸明星
健康養生
藝術設計
時尚穿搭
遊戲
奇趣
花草綠植
裝修
星座運勢
科技軍事
韓國明星
體育競技
古裝劇
美景
歷史
現代劇
妝髮設計
汽車
健身運動
影視
寵物
明星盤點和對比
實時熱點
豪門名流
明星八卦
國際明星
日本明星
韓劇
劉德華
動物
職場工作
機車
正妹
港劇
王室新聞
天文
全部
女童拔乳牙...X光驚見「81顆牙塞滿嘴」嚇壞牙醫:太罕見
2025/12/02
1
/8
從小養成定期看牙的習慣,不僅可以及早發現問題治療,也能避免後續龐大的修復開銷。
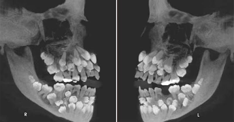
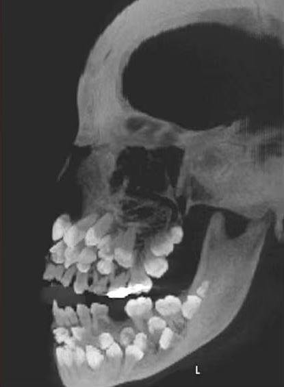
一名11歲的巴西女童因乳牙搖搖欲墜,到牙科診所看診,怎料醫生在拍完X光後,發現她嘴裡竟塞了81顆牙齒!
一名11歲的巴西女童因乳牙搖搖欲墜,到牙科診所看診,怎料醫生在拍完X光後,發現她嘴裡竟塞了81顆牙齒!
1
/8
2
/8
根據媒體《Chosun Biz》的報導,《美國齒顎矯正與顏面矯形學期刊》2011年曾刊登一起罕見病例,巴西一名11歲女童因想拔除一顆上排乳牙就醫,起初牙醫進行口腔檢查時並無異狀,誰知在照完X光後醫生大驚失色,因為女童嘴裡竟藏了18顆乳牙、32顆恆牙,以及31顆多生牙,一張小嘴共擁有多達81顆牙齒。
2
/8
上一頁
1/4
下一頁
快訊/宏福苑大火146死!樓梯天台驚見「30具堆屍」
2025/12/02
以為是蛇!他外帶蛋花湯「驚見超巨一條」煮熟飄湯裡,內行網友笑:「這碗至少上千元」
2025/12/02
12月2號,四大生肖 偏財大旺! 數錢數到手抖!
2025/12/01
整間像被炸過!女房客退租「留滿屋垃圾山」畫面超驚悚 一開廁所「2桶暗黑液體」清潔阿姨都嚇傻
2025/12/01
12月2.3.4號 財運一馬當先,恭喜6生肖 大賺一千萬
2025/12/02
五大生肖的孩子,這輩子都是來報恩的,都是父母的福星!
2025/12/01
《他為什麼依然單身》朱珠產後曾胖到80kg?不狂運動、不挨餓照瘦25kg神技公開
2025/12/01
手術室驚見「醫師綁袖」藏玄機!內行曝恐怖真相:生命從不容許「萬一」
2025/12/01
熬過大難有大財,12月份 這些生肖 財運大爆發
2025/12/02
香港大火128死!男網紅火場「燦笑比YA」譏死者「罪孽深厚遭火劫」網怒肉搜「真實身份」下場慘了!
2025/12/02
為何有的女性體毛旺盛,有的卻「光禿禿」?到底是什麼原因呢?
2025/12/02
李昇基結婚口碑全崩!首次透露女兒樣貌!分享育兒的一天
2025/12/01
失眠怎麼辦|高壓/焦慮致睡眠障礙!了解原因及6個有效解決方法
2025/12/01
電動化犧牲者?福斯 Phaeton D2 千萬概念車,3.8 秒破百卻被放棄
2025/12/01
露肩上衣怎麼穿才不會露發熱衣?何美「一招」神解決兼具保暖,加碼一字領不跑位秘訣公開
2025/12/01
常常健忘、壓力大?嚴浩推5分鐘大腦瑜伽 活化大腦、提升效率
2025/12/01
別用這杯子裝咖啡!小心害你罹癌又變胖,1招教你健康變美還能愛地球!
2025/12/01
染髮恐致癌?醫警告「標榜3功效」染髮劑千萬別用,這樣做最不傷身
2025/12/01
起床不再痛苦!專家推薦真正有效「解決賴床方法」睡前「做1件事」馬上精神百倍
2025/12/01
大喜臨頭!【12月】4大生肖趨吉避兇,事業突破阻礙,發財喜事成雙!
2025/12/02
